Before and After Gallery

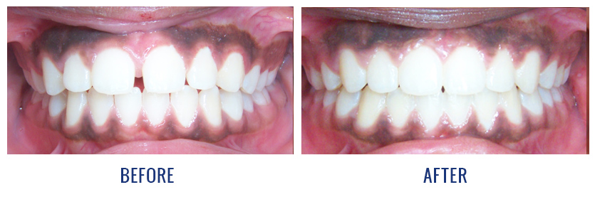
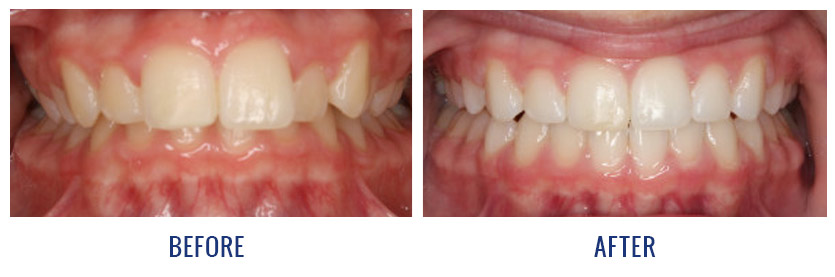
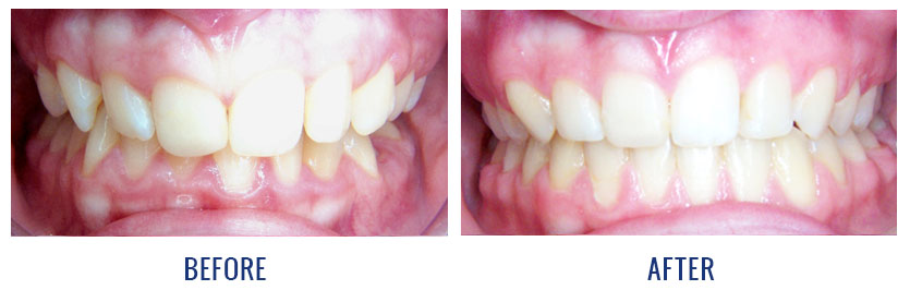
Details: This patient had spaces between her teeth and complained that she felt like her teeth stuck out. Dr. Bill used braces to close the spaces, align her teeth, and bring her upper front teeth back to eliminate her overjet. She was very happy with her lovely smile.

Details: This patient and her mother were very concerned that her teeth were not aligned, and that she hated smiling. Dr. Bill used braces, bite blocks, coils, and elastics to align her teeth. Her pediatric dentist completed the cosmetic bonding to her upper incisors, and now she smiles without hesitation.

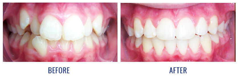
Details: This patient's upper and lower teeth were extremely crowded. His parents were concerned that he could not keep his teeth adequately cleaned. Dr. Bill used braces, coils, and IPR to make room and align his teeth. He and his parents were happy that his teeth looked great, and his dentist was pleased that his cleaning appointments were much improved.


Details: This patient had crowding in her upper and lower teeth and complained that her lower teeth were touching the roof of her mouth when she chewed. Dr. Bill used orthodontic braces, bite blocks, and rubber bands to correct her bite and achieve a beautiful result.

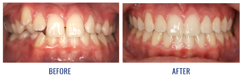
Details: This patient had a baby tooth that would not fall out on its own, due to its position wedged between two teeth. In addition, he had spacing between his upper teeth and crowding between his lower teeth. Dr. Bill used orthodontic braces, coil springs, and elastic chain to eliminate the crowding, close the spaces, and bring the impacted cuspid into its appropriate position.

Details: This patient had a thumb sucking habit as a child, which kept her front teeth from contacting when she bit into food. Dr. Bill used braces and a tongue crib to close the open bite and give her a functional bite.

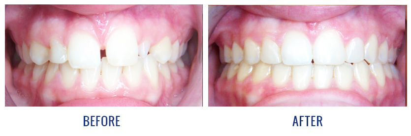
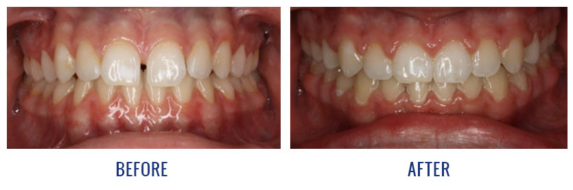
Details: The patient was always self-conscious about the gap between his teeth. Dr. Bill used orthodontic braces and elastic chain to close the spaces, and give him an attractive smile.

Details: This patient was concerned that about how her teeth looked and functioned when she ate food. Dr. Bill used Orthodontic braces and bite blocks to open her bite and straighten her teeth. She was amazed to see the results, and felt that the bite improvement made it much easier to chew.

Details: This patient wanted to align his teeth and correct his underbite and crowding. He did not want to use conventional metal or ceramic braces. He choose to use Invisalign to improve the look and function of his teeth. The treatment took approx 15 months, and the result was a great smile and a happy patient.

Details: This patient was unhappy with her overbite; she felt that her two front stuck out too far. She chose Clear Correct to align her teeth, eliminate the crowding and correct her overbite. She was very pleased with the beautiful results that were achieved.

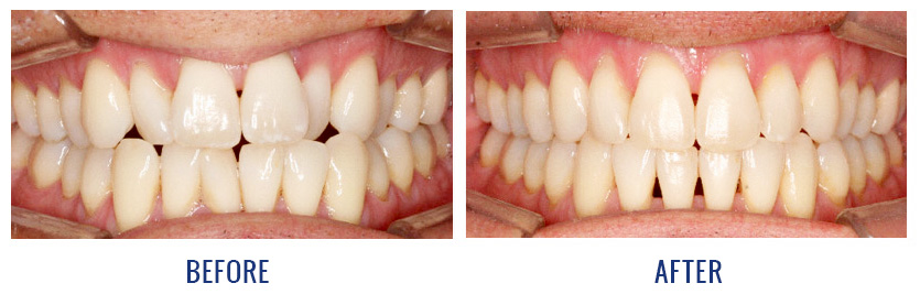
Details: This patient had some issues with a deep bite and crowding in her teeth. Dr. Bill eliminated the crowding and corrected her overbite and now she's delighted with her new, improved smile!